RTG Telemetryczne Kraków Prądnik, RTG Posturalne Kraków Prądnik, RTG Skalometryczne Kraków Prądnik, Stitching Kraków Prądnik ul. Rozrywka 24a Kraków
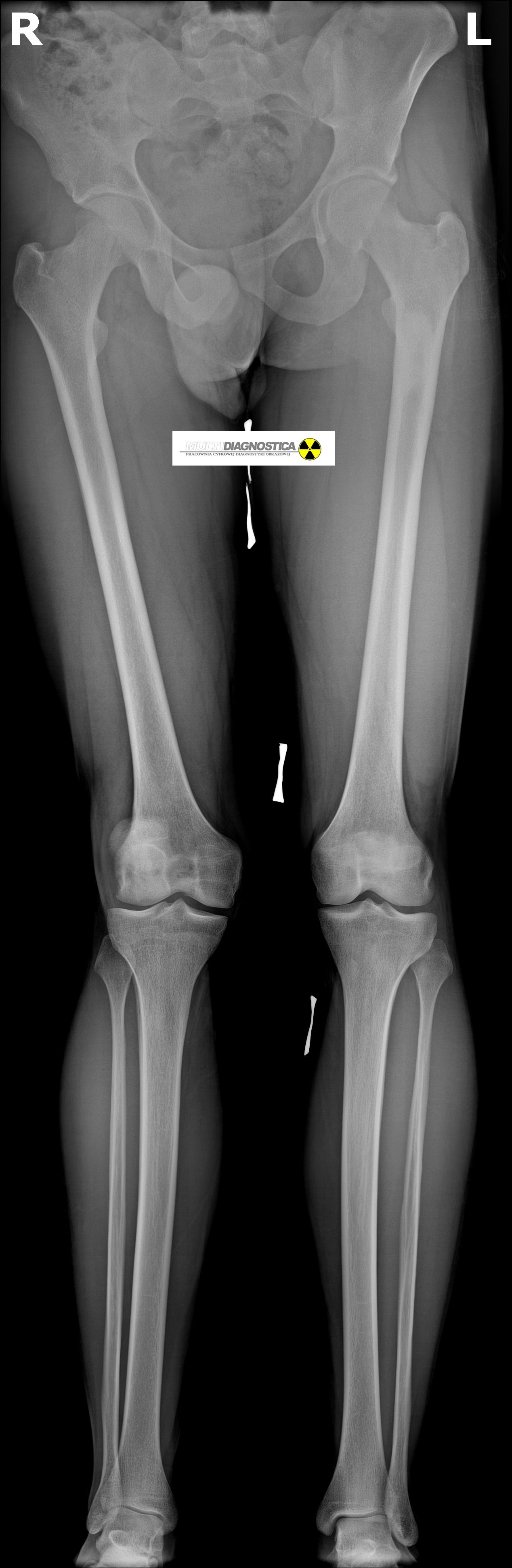
Wyposażyliśmy pracownię w cyfrowy detektor z oprogramowaniem posiadającym funkcję skalometrii (Stitching), dzieki której możliwe jest wykonanie badania telemetrycznego RTG całych kończyn długich i całego kręgosłupa a następnie uzyskanie obrazu diagnostycznego obejmującego razem kilka części anatomicznych połączonych w całość.
Skalometrie stosuje się w diagnostyce schorzeń ortopedycznych
Pomiary długości kości kończyn, kątowe pomiary skrzywień kręgosłupa
